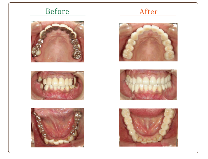
総合歯科治療
歯科治療では、痛みなど一つ一つの症状に対して治療を行うことができます。ですが、原因を取り除いておかないと時間が経ってまた同じ症状がでるというケースも少なくありません。ヒロ歯科クリニックでは今悪い部分をとりあえず治療するのではなく、お口の中全体を精密に検査・診断し、様々な原因(歯並び・かみ合わせ・歯周病・生活習慣)を取り除き、より長く健康に食生活ができるような治療計画をご提案いたします。
![]()
矯正治療 インプラント 再生療法 審美的補綴などを用いて
総合的に治療介入し咬合再構成を行ったケース
[ CASE1 ] インプラントと部分矯正を用いてオールセラミックにて咬合再構成を行ったケース

[ CASE2 ] インプラントとインプラント周囲の骨造成および歯肉移植 と 歯周病に対しての骨再生療法 と 部分矯正を用いて咬合再構成を行ったケース

[ CASE3 ] 審美的補綴(オールセラミック)を用いて咬合再構成を行ったケース



